
Hitting the target for cancer
Challenge
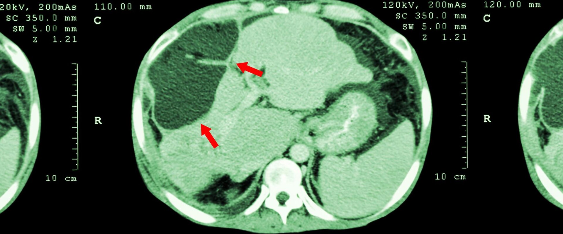
For many years molecular radiotherapy (MRT) has been used for palliative care of cancer patients, but it has great potential to become a potent first line cancer treatment. The therapy uses radioactive drugs to target specific tumour locations, for example by injection of radioactive microspheres into tumours in the liver via its artery.
Currently, the delivered therapeutic dose is estimated by measuring the radioactivity of the pharmaceutical or device used, before it is administered. This method has a well-established calibration chain for routine liquid radioactive pharmaceuticals in standardised containers. However, these calibrations do not easily transfer to innovative treatments such as the use of radioactive resin microspheres and other novel delivery systems.
Clinicians are keen to relate radioactivity per unit volume of therapy given to patients to the radiation dose delivered to the tumour as monitored using imaging methods. To be able to do this reliably it is necessary to achieve greater activity accuracy and to be able to track activity delivery to the cancer. Improved activity measurements and a better understanding of the relationship between activity of the radiopharmaceutical and the actual delivered therapeutic dose at the tumour site are needed to increase treatment effectiveness and to encourage the more widespread use of novel delivery systems, such as microspheres.
Solution
The EMRP project Metrology for molecular radiotherapy (MetroMRT) developed a radiotherapy dose measurement method for radioactive microspheres based on accurately monitoring radioactivity both at the point of administration and at the tumour site. The project identified issues that hamper the activity measurement of radioactive microspheres, such as variations in the dimensions of vial wall thickness and microsphere solution density. The work enabled improved radioactivity measurement traceability, and established a robust link to conventional activity measurements in the clinic for Yittrium-90 in solution before the microspheres are administered to the patient. The administered activity is a critical parameter in the use of Yittrium-90 microspheres to treat liver cancer patients.
Impact
Sirtex is an international company specialising in developing and delivering effective cancer treatments using small particles. The rigorous activity calibrations and error analysis developed in MetroMRT have enabled Sirtex to improve microsphere treatment delivery. Sirtex have assessed their whole product handling process based on the project’s findings, to ensure a greater accuracy in measuring the radioactivity administered in individual treatments.
Integrating improved measurements of the microspheres’ radioactivity with Sirtex’s own imaging methodology will help link activity administered to the actual therapeutic dose delivered to individual patients supporting the current European drive to establish safer and more effective MRT treatments. Overall, these developments are contributing to an increased use of MRT as a front line treatment for cancer in addition to its current role in palliative care.
- Category
- EMRP,
- Health,
