Software for evaluating PET cardiac perfusion imaging uncertainties for more accurate diagnosis

Short Name: TracPETperf, Project Number: 19SIP04

Improved imaging analysis accuracy for personalised treatments of the commonest cause of premature death in Europe

PET Image showing heart and coronary vessels

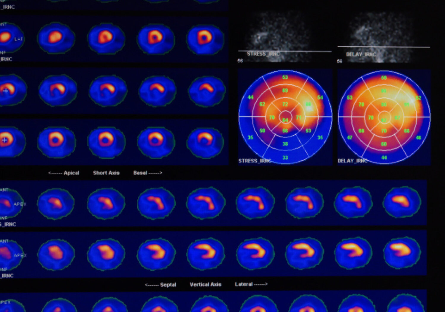
Visualising the precise characteristics of blood flow (perfusion) is important for personalising patient treatments for cardiovascular disease (CVD), the general term for conditions affecting the heart or blood vessels that cause about 1.8 million deaths a year in the EU. Cardiac positron emission tomography (PET) is a promising imaging technology, offering high sensitivity and high resolution. However, as accurate calibrations of perfusion measurements are currently only possible using costly invasive procedures, use of PET in research settings fails to provide device and facility comparability. In clinical practice, inaccuracies run the risk of false diagnoses, patient distress, unnecessary treatments and litigation. Another EMPIR project, PerfusImaging, found the inaccuracies in perfusion measurements are due to variable scanner settings and problems with image analysis – and recommended standardisation measures and software that considers the measurement uncertainties.

 

In this project, NPL developed an add-on for Carimas image processing software, currently distributed for research purposes by the Turku PET Centre in Finland. The new package can specify causes of measurement uncertainties and display data as an interpretable and actionable visual map. New protocols enable calibrations so users can understand sources and effects of errors, and so image interpretation can be automated. The resulting increased reproducibility will facilitate effective comparisons between systems and institutes. After the add-on is validated, it will also be offered to manufacturers using proprietary software.

The outcomes developed in the project enable more reliable diagnoses of perfusion issues, allowing clinicians to provide personalised and timely patient treatments for improved survivability and quality of life.

 

Participating EURAMET NMIs and DIs

NPL (United Kingdom)

Other Participants

TURUN YLIOPISTO (Finland)

Information

Programme
EMPIR
Field
Health
Status
completed
Call
2019
Duration
2020-2022